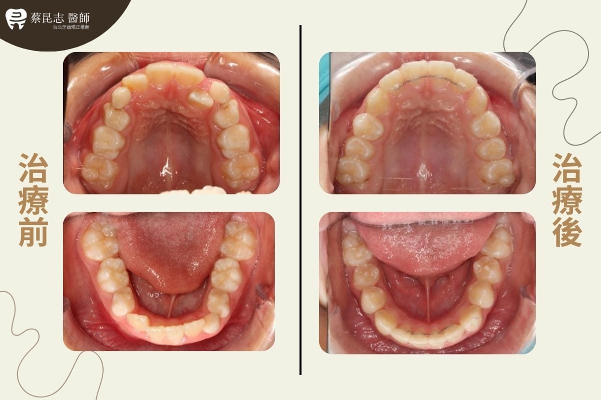
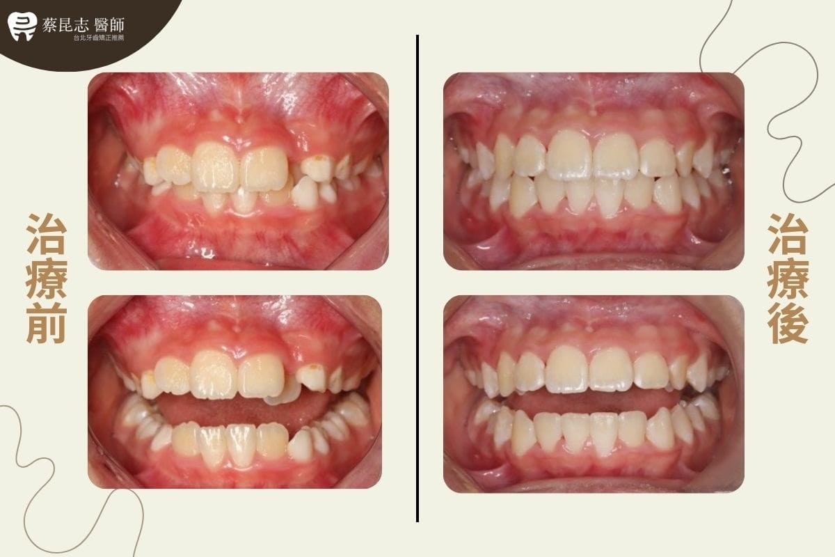
兒童矯正恆齒空間不足-牙況說明
患者為國小四年級孩童,恆齒齒列已發生擁擠情況。上、下顎四顆門牙恆齒已長出,幾乎沒有空間容納未來將萌發的右下犬齒右下犬齒,若未及早處理,未來右下顎犬齒勢必因空間不足,而亂長或甚至無法長出。
兒童矯正恆齒空間不足-治療方式
隱適美除了提供成人矯正方案,也針對兒童設計專屬的隱形牙套。在換牙黃金期提前介入治療,藉由溫和的牙齒移動創造足夠空間,引導牙齒重新排列整齊正常生長。
及早治療不僅可改善齒列擁擠,亦有助於建立良好的咬合關係,降低未來發音異常與口腔咬合等問題的風險。
兒童矯正恆齒空間不足-結果分享



