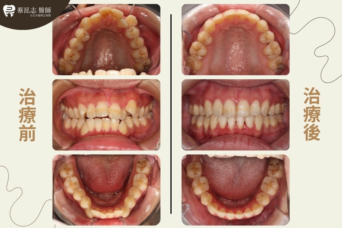
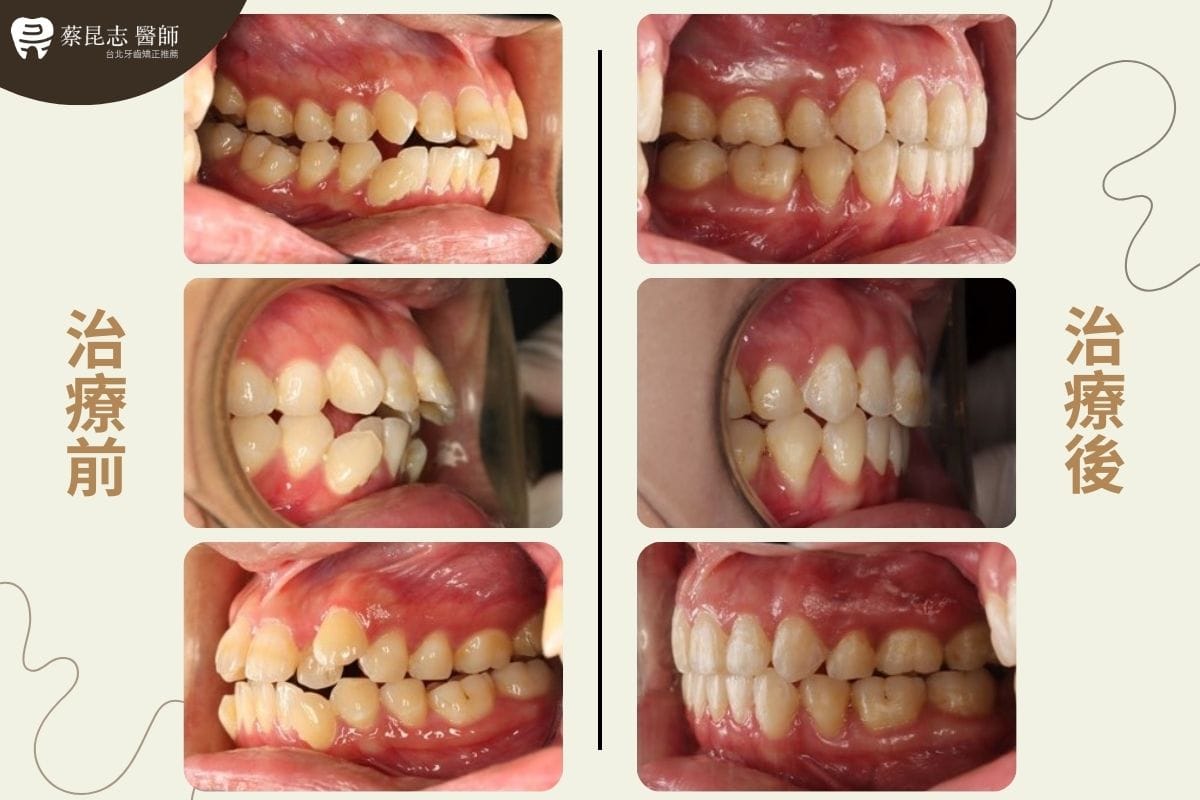
齒列擁擠 合併暴牙和開咬 拔牙治療-牙況說明
這位患者的牙齒情況相當複雜,齒列嚴重擁擠,上下前牙明顯前凸,且上下牙齒之間呈現開咬的狀態。由於暴牙的影響,患者在日常生活中,嘴唇放鬆時無法自然閉合,不僅造成臉型外觀的困擾,也影響了口腔的功能與美觀。
齒列擁擠 合併暴牙和開咬 拔牙治療-治療方式
在經過完整的口腔評估後,醫師規劃拔除上下顎左右各一顆第一小臼齒,藉此為擁擠的齒列創造足夠的空間。隨著矯正治療的進行,牙齒逐步排列整齊,原本開咬的狀況也獲得改善。透過前牙的後縮,暴牙與嘴凸的問題得以修正,整體臉型線條也變得更加協調自然。
治療完成後不僅改善側邊嘴凸的臉型,且嘴唇放鬆時能自然閉合。
齒列擁擠 合併暴牙和開咬 拔牙治療-結果分享





