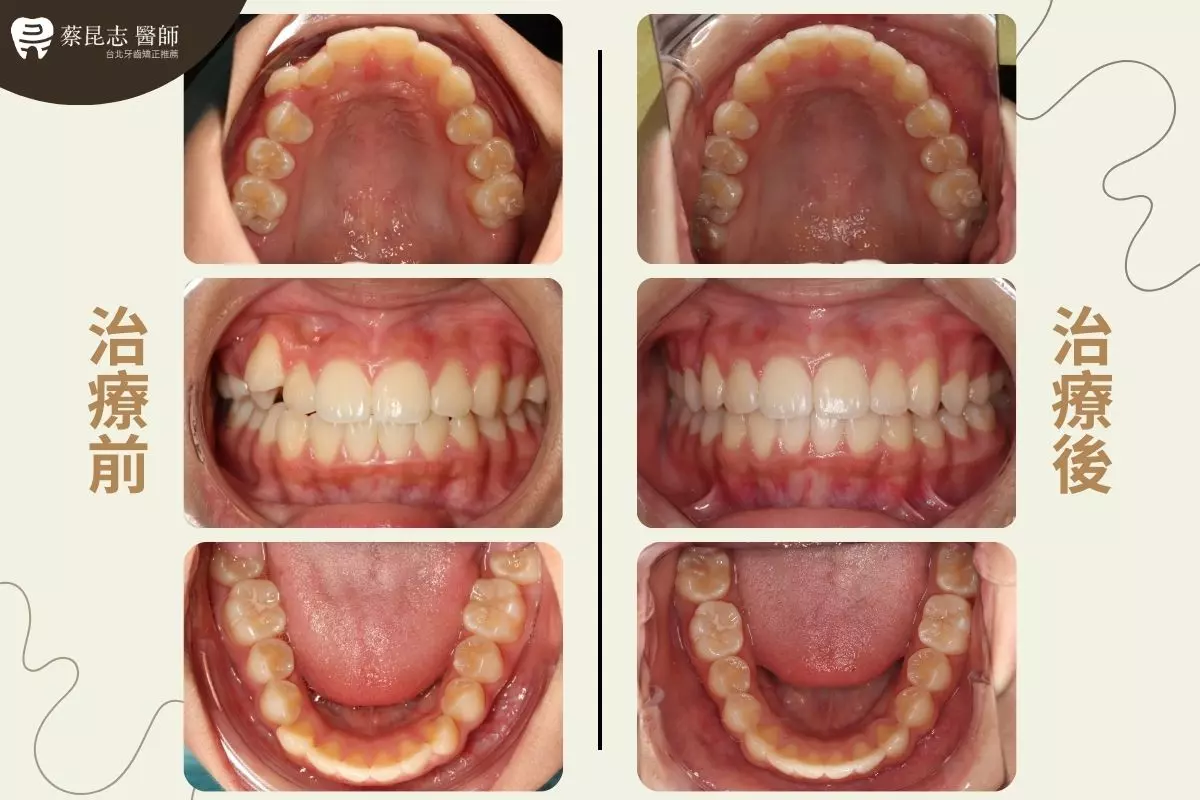
上顎高位犬齒早期矯正未拔牙案例-牙況說明
案例為小學六年級學生,因家長發現其牙齒排列不整齊,來診所諮詢矯正治療。
經醫師檢查後發現,患者右上犬齒(虎牙)高位萌出,導致牙齒排列擁擠,不僅影響美觀,也可能影響咬合功能與口腔清潔。
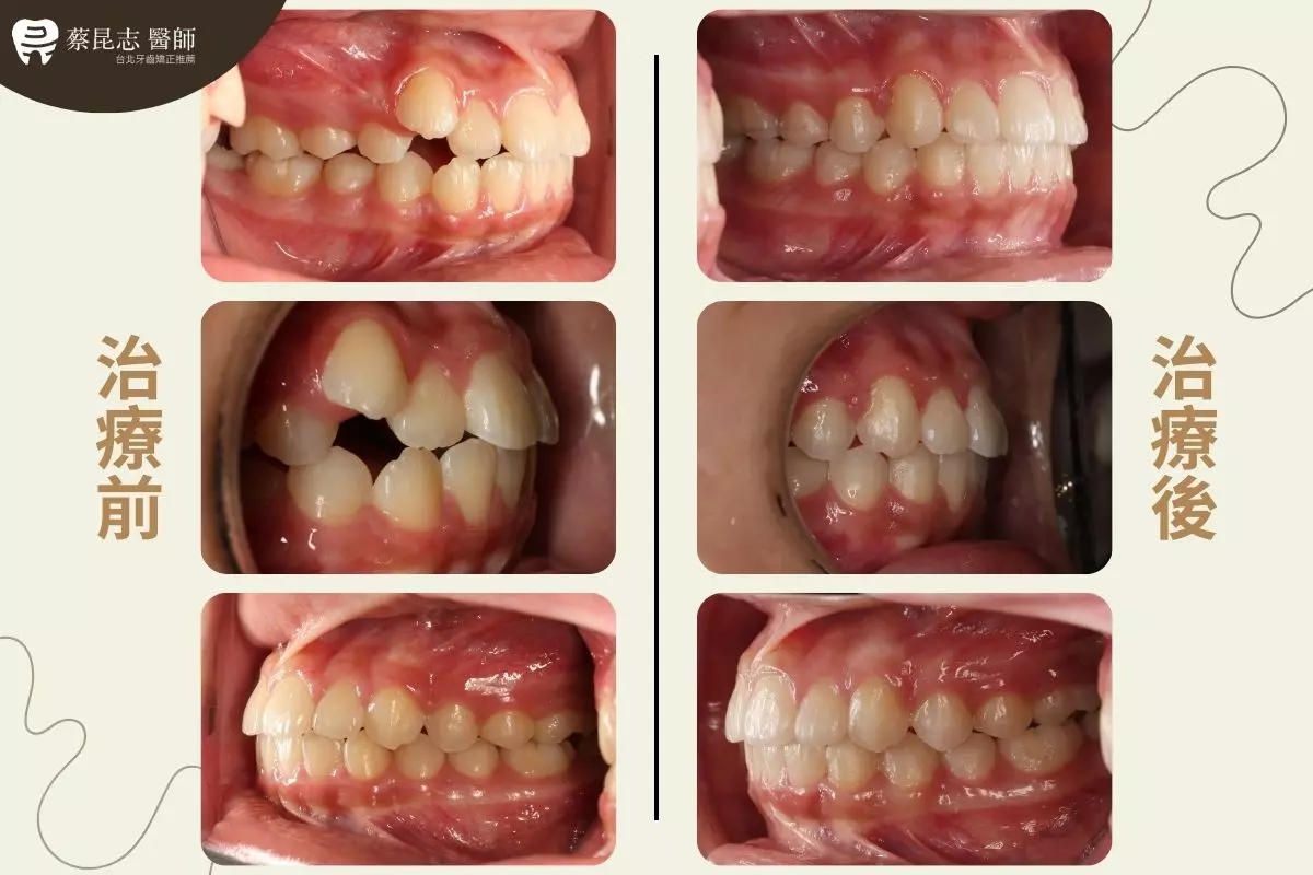
上顎高位犬齒早期矯正未拔牙案例-治療方式
醫師評估後,建議患者進行早期矯正,透過固定矯正器調整牙齒排列,逐步將高位犬齒牽引至正常位置。
由於患者仍處於國小發育階段,透過矯正即可創造足夠的空間,因此以不拔牙的方式治療,即可讓牙齒自然歸位。
早期的矯正治療,可以減少未來長大後需要拔牙的機會。
上顎高位犬齒早期矯正未拔牙案例-牙齒變化
上顎高位犬齒早期矯正未拔牙案例-結果分享








