【牙齒矯正】笑容蛻變!專業牙齒矯正,蔡昆志醫師重建患者咬合!

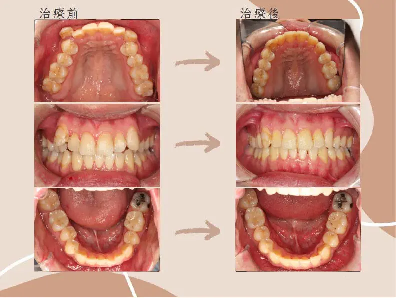
隱適美案例牙況說明:

患者陳先生在治療前上顎有明顯的「虎牙」,加上左下顎缺失一顆小臼齒,右下顎缺失第二大臼齒,導致右下顎智齒向前傾倒。影響前牙美觀與部分咬合功能。

主要治療方式:

病患臉型大致上良好,考量減少臉型的變化,採取盡量減少拔牙顆數的治療,治療計畫是以不對稱拔牙的方式,拔除左上顎第一小臼齒,讓左側上、下齒列牙齒顆數對稱,並提供空間讓左上犬齒排列整齊。右上顎後牙採取往後方遠心移動的方式,提供空間讓右上犬齒排列整齊。右下顎扶正原傾倒之智齒,讓智齒代替缺失的第二大臼齒。

陳先生 01 1
陳先生 02 1
陳先生 03 1