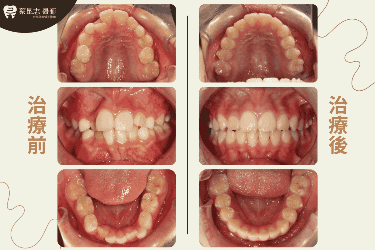
兒童隱適美矯正案例-牙況說明
此案例中,右下方乳犬齒已脫落,尚未萌發右下犬齒完全無任何空間萌發。若持續放任不處理,將來右下犬齒將會被擠到齒列外圍,或甚至因缺乏空間無法萌發造成阻生。
早期兒童矯正最大好處,就是能降低未來因為齒列擁擠,需要拔牙做矯正的機會。
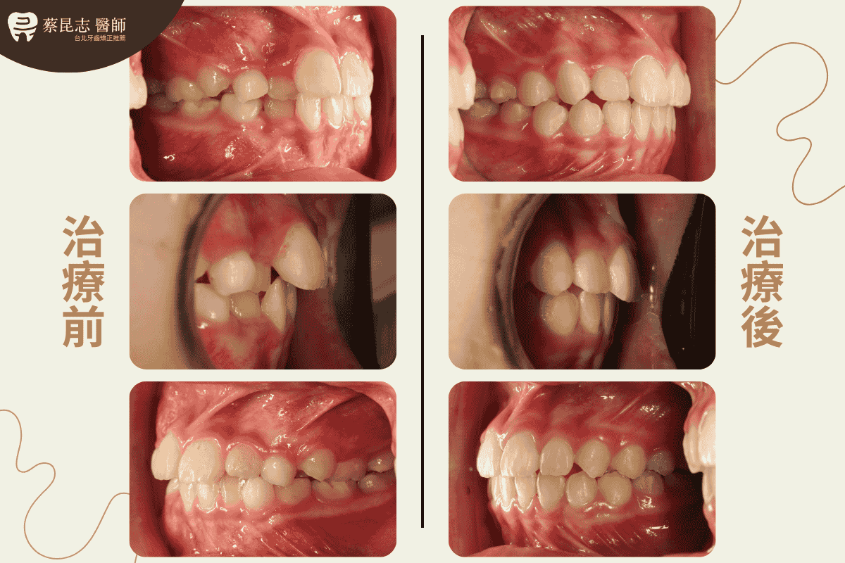
兒童隱適美矯正案例-治療方式
成年人齒列擁擠的矯正治療,為了獲得空間將齒列排齊,通常會需要拔牙來獲得空間。
在兒童換牙的混和齒列期間,若預判將來恆齒萌發空間不足,就可以提早進行兒童矯正,確保恆齒萌發空間足夠,避免將來恆齒齒列擁擠。
兒童隱適美矯正案例-牙齒變化
兒童隱適美矯正案例-結果分享








