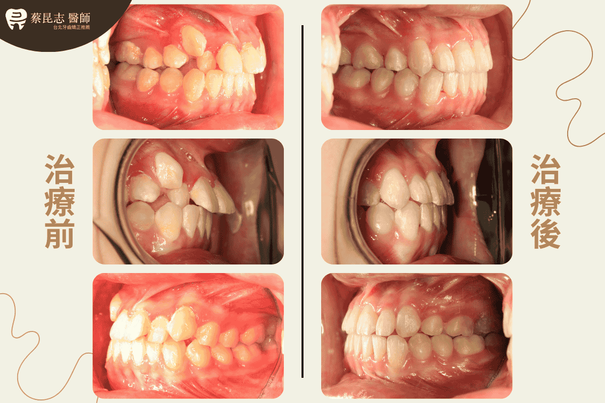
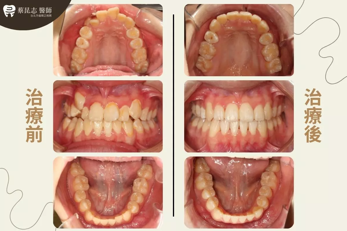
上顎高位犬齒矯正拔牙治療案例-牙況說明
案例為高中學生,經醫師檢查後發現,患者上顎前牙擁擠(Ant. Crowding),右上犬齒是高位犬齒(High Canine),不僅影響美觀,也會影響咬合功能與口腔清潔。
上顎高位犬齒矯正拔牙治療案例-治療方式
治療計畫是拔除上顎左右兩側第一小臼齒,以獲得空間,將擁擠的牙齒和高位犬齒,排列整齊獲得前牙正常咬合,並改善側臉上下唇稍微外凸之輪廓外觀。
上顎高位犬齒矯正拔牙治療案例-結果分享






上顎高位犬齒矯正案例比較
本案例因為年齡已經接近成年人,所以需拔兩顆上顎牙齒進行治療,相較於另一則不需拔牙的國小學生矯正案例,兒童時期的矯正效果較佳,骨骼可塑性較高,不僅治療時間較短,還能避免因空間不足而拔牙。
您的孩子有類似的牙齒問題,建議您盡早預約蔡昆志醫師進行矯正諮詢,為孩子的未來預備最好的笑容!
