【牙齒矯正】前牙錯咬矯正,告別戽斗重拾自信笑容

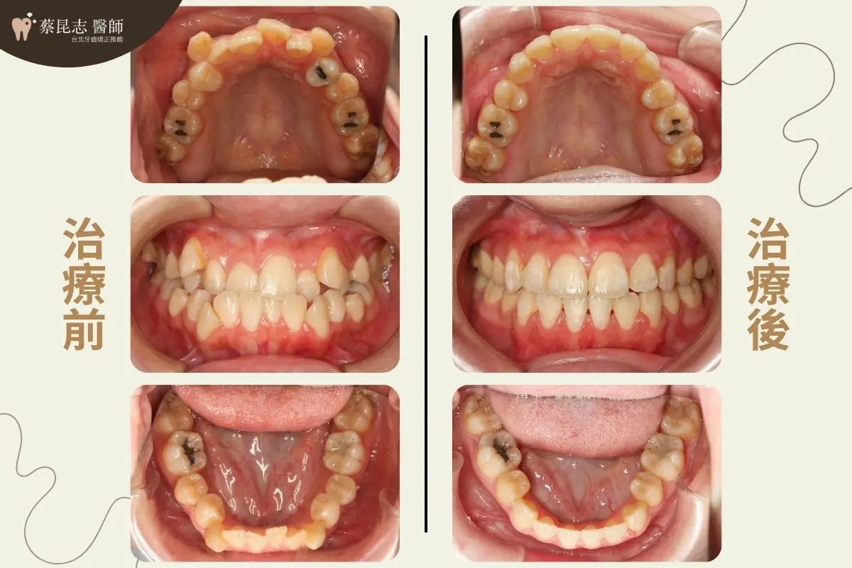
前牙錯咬戽斗案例-牙況說明

治療前可以見到因為上下顎前牙嚴重擁擠、上顎高位犬齒,所造成的不美觀笑容。

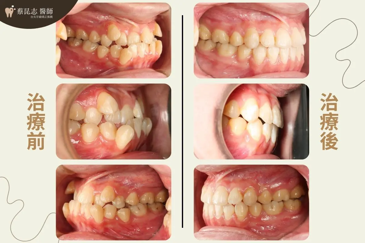
又因為下顎前牙過於外暴、上下顎前牙咬合與正常咬合相反的錯咬,所造成的側面輪廓下唇的部分過於外凸。

前牙錯咬戽斗案例-治療方式

治療計畫是拔除上、下顎左右兩側各一顆第一小臼齒,讓嚴重擁擠上下顎前牙,有空間可以排整齊

將上、下顎前牙後縮,恢復上下顎前牙正常咬合,並改善側臉輪廓下唇過於外凸之外觀,讓側臉下巴輪廓線條更加協調。

前牙錯咬戽斗案例-結果分享

前牙錯咬戽斗矯正前後臉型變化 前牙錯咬戽斗矯正前後口腔變化 前牙錯咬戽斗矯正前後口腔側面變化 前牙錯咬戽斗矯正前後門牙變化 前牙錯咬戽斗矯正前後嘴型變化 前牙錯咬戽斗矯正前後正面x光變化 前牙錯咬戽斗矯正前後側面x光變化