暴牙拔牙矯正案例-牙況說明
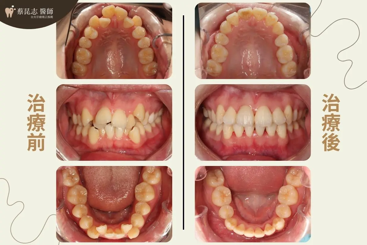
治療前可以見到因為上下顎前牙嚴重擁擠、上顎高位犬齒,造成笑容的不美觀。
又因為上顎前牙過於外暴、上下顎前牙水平距離差距過大,所以側面輪廓上唇過於外凸,和咬合不正。
暴牙拔牙矯正案例-治療方式
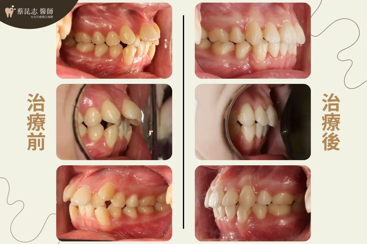
治療計畫是拔除上、下顎左右兩側各一顆第一小臼齒,讓嚴重擁擠上下顎前牙,有空間可以排列整齊。
將上、下顎前牙後縮,恢復上下顎前牙正常咬合,並改善側臉輪廓上唇過於外凸的外觀,凸顯側臉下巴輪廓。
暴牙拔牙矯正案例-結果分享






治療前可以見到因為上下顎前牙嚴重擁擠、上顎高位犬齒,造成笑容的不美觀。
又因為上顎前牙過於外暴、上下顎前牙水平距離差距過大,所以側面輪廓上唇過於外凸,和咬合不正。
治療計畫是拔除上、下顎左右兩側各一顆第一小臼齒,讓嚴重擁擠上下顎前牙,有空間可以排列整齊。
將上、下顎前牙後縮,恢復上下顎前牙正常咬合,並改善側臉輪廓上唇過於外凸的外觀,凸顯側臉下巴輪廓。