傳統矯正器是一種歷史悠久且廣為人知的牙齒矯正方式,透過金屬托槽與鋼絲的調整,逐步改善牙齒排列,達到理想的微笑曲線。
台北矯正推薦-蔡昆志醫師將深入介紹傳統矯正的原理、優點、價格範圍,以及選擇時應考量的因素,幫助您全面了解這項經典矯正療程。
不論您是初次考慮矯正或是想比較不同矯正方式的差異,都將為您提供實用的參考資訊。
文章目錄
Toggle什麼是傳統矯正器?
傳統矯正器,又稱金屬牙套,主要由金屬托槽和鋼絲組成。
每顆牙齒表面都會固定一個小型的金屬托槽,這些托槽透過鋼絲彼此相連,並定期施加適當的拉力。
矯正器的運作原理在於鋼絲的彈性力量,能夠逐漸移動牙齒至理想位置,隨著時間調整張力及方向,達到理想的排列效果。
橡皮圈也常用於矯正器上,幫助解決咬合不正或其他複雜問題,使得傳統矯正器能針對各種不同的牙齒問題提供有效的解決方案。
傳統矯正器3大優點
- 價格親民:相較於其他矯正方式,傳統矯正器的費用較為經濟實惠,成為許多預算有限患者的首選。
- 適用範圍廣:無論是牙齒排列不整、暴牙、戽斗等問題,傳統矯正器都能有效解決,適合多種複雜的矯正需求。
- 矯正效果穩定:傳統矯正器的矯正力較強,能更快速地將牙齒移動到理想位置,提供穩定且持久的效果。
傳統矯正價格要多少?
一般來說,傳統矯正價格費用約在12萬至18萬元之間,相對於其他矯正方式來說較為親民。
傳統矯正器的價格範圍通常依據地區、診所的專業度、以及個人矯正需求的複雜度而有所不同。
許多診所也會提供分期付款選項,減少一次性負擔。不過最終的費用仍需根據每位患者的狀況進行評估,建議諮詢蔡昆志醫師以獲得更精準的價格資訊。
傳統矯正牙齒5大過程
傳統矯正器的治療過程包含幾個關鍵步驟,從初步諮詢到最終矯正完成,以下是每個階段的詳細介紹:
-
初步諮詢與檢查
矯正療程通常從初步諮詢開始,醫師會透過口腔檢查、X光拍攝、牙齒模型製作等方式評估患者的牙齒狀況,並根據需求設計合適的矯正計劃,說明療程、時間以及大致費用。 -
矯正計劃與矯正器製作
經過諮詢後,醫師會針對患者的牙齒問題制定專屬的矯正計劃,並開始製作矯正器。這包含設計金屬托槽的位置和鋼絲的角度,以便矯正器在牙齒上施力,使其逐漸移動至理想位置。 -
矯正器安裝
安裝階段,醫師會將金屬托槽固定在牙齒上,並通過鋼絲將托槽連接起來。通常,這過程需要一些時間來確保托槽位置正確,並且鋼絲的力量均勻分布。 -
定期回診與調整
在矯正過程中,患者需要每4至8週回診一次,讓醫師依據牙齒移動的進度進行調整。調整的過程包括更換鋼絲或橡皮圈,以確保牙齒繼續朝正確方向移動。 -
維持器佩戴
矯正器拆除後,醫師會製作維持器,並指導患者如何佩戴。維持器的作用是穩定牙齒的位置,避免牙齒因重力或咀嚼習慣而重新移位。佩戴維持器的時間長短因人而異,通常建議持續佩戴6個月以上。
經過這些步驟,傳統矯正器能有效達成理想的矯正效果,讓牙齒排列更加整齊、咬合更加精準。
傳統矯正器 vs. 隱形矯正
| 比較項目 | 傳統矯正器 | 隱形矯正器 |
|---|---|---|
| 外觀差異 | 金屬托槽較為顯眼,存在於牙齒表面 | 幾乎透明,不易被察覺,外觀美觀 |
| 配戴方式 | 固定於牙齒上,無法自行取下 | 可自行取戴,便於飲食及清潔 |
| 清潔方式 | 清潔需使用專用刷具,較不方便 | 可取下後用一般牙刷清潔,清潔較方便 |
| 適用範圍 | 適用於複雜的牙齒問題,如咬合不正等 | 適合中等及輕度的牙齒矯正需求 |
| 矯正效果 | 矯正力穩定,可快速移動牙齒 | 矯正力、效果穩定性需依病患狀況而定 |
| 價格 | 較為經濟實惠,費用通常較低 | 價格較高,但符合現代審美需求 |
-
外觀差異
傳統矯正器由於金屬托槽顯眼,佩戴後較容易被察覺;隱形矯正器則以透明材質製成,幾乎不影響外觀,因此更具美觀性,適合需要保持形象的患者。
-
配戴方式
傳統矯正器是固定在牙齒上,無法自行取下,適合長期且穩定的矯正需求;隱形矯正器則可自行取下,讓患者在進食和清潔時更方便,但需有自律性以確保每天佩戴足夠時間。
-
清潔方式
傳統矯正器的清潔較為繁瑣,需要專用刷具與細心刷洗,隱形矯正器則相對簡單,因為可取下後直接清潔,減少食物殘留的風險。
關於傳統矯正器Dcard網友也常問
Q:傳統矯正器刮嘴嗎?
傳統矯正器在初期佩戴時確實可能會因金屬托槽摩擦口腔內壁而導致不適或輕微的刮傷。
為減輕這種不適,醫師通常會提供矯正蠟,患者可將蠟放置在托槽上,以保護口腔黏膜並減少刮傷。
Q:傳統矯正器清潔方式有哪些?
傳統矯正器清潔需特別仔細,可使用矯正專用的牙刷與牙間刷,清潔牙齒與托槽間的縫隙,避免食物殘留。
此外,也可搭配漱口水和沖牙機來加強口腔清潔,減少牙菌斑堆積。
Q:配戴傳統矯正器吃東西會有限制嗎?
佩戴傳統矯正器後,建議避免食用過硬、過黏或過小的食物,例如堅果、口香糖或小顆粒的爆米花。
這些食物可能卡在托槽或鋼絲中,導致矯正器損壞或增加清潔難度。
Q:傳統矯正跟隱適美哪一個有用?
兩者都有良好的矯正效果,但適用範圍有所不同。
傳統矯正器適合複雜的矯正需求,且矯正力強、穩定性高;隱適美則適合中輕度的牙齒矯正,且美觀便於取戴,適合在意外觀的患者。
選擇時可根據自身需求與預算進行考量,並諮詢蔡昆志醫師的建議。
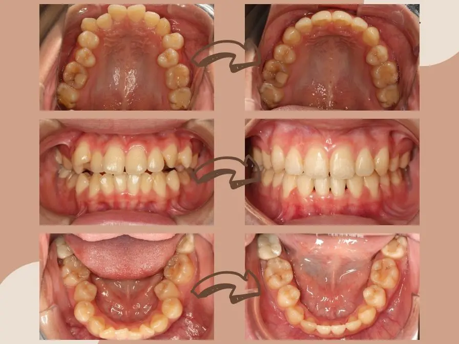
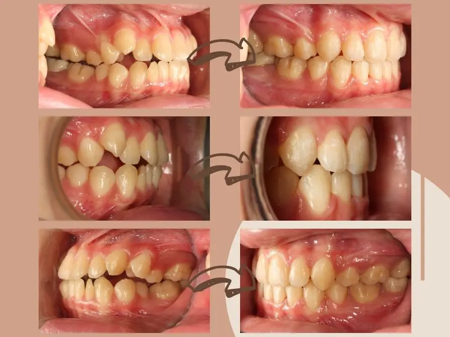
矯正專科權威 – 蔡昆志醫師案例分享
蔡昆志醫師以豐富的經驗與專業,幫助許多患者實現牙齒整齊、咬合穩定的理想。
以下是患者的成功案例,呈現從初次矯正到完成後的變化過程:
案例說明
莊小姐在治療前有咬合開咬及齒列擁擠的問題,影響美觀及咀嚼功能。
矯正過程
初步檢查與設計蔡醫師透過口腔X光與牙齒模型進行詳細分析,設計出適合的矯正計劃,確保最佳矯正效果。
透過拔除上下顎左右兩邊的第一小臼齒,為牙齒創造更多空間,讓擁擠的齒列重新排列,同時改善咬合不正及臉型比例。
接著使用傳統矯正器,精確調整每顆牙齒的位置,讓笑容更加燦爛自信。
莊小姐在治療後,原本擁擠的牙齒變得整齊,咬合也得到改善,不僅提升了自信心,臉型也變得更加立體。
傳統矯正前後對比





台北牙醫推薦蔡昆志醫師仁心仁術,用心治療
台北牙醫推薦-蔡昆志醫師,扎實三年齒顎矯正專科,亦為隱適美Invisalign認證醫師,為患者制定最完整的矯正計畫。
蔡昆志醫師同時也是德國Dentsply Xive植牙專科醫師,缺牙矯正、人工植牙可同時評估,給予患者有系統的治療方案。







