隨著隱適美患者增加,網路上發布隱適美失敗的文章也愈來愈多,這所謂「好事不出門,壞事傳千里」,想必大家也常看見網友們表示隱適美後悔。
今日就讓台北新店隱適美專家-蔡昆志醫師替大家解答造成隱適美失敗的原因,說明如果隱適美後悔患者應該怎麼做,最後透過分享隱適美失敗案例來呼籲大眾應該注意的事項。
隱適美失敗頭好痛,為什麼隱適美後悔的人那麼多?
大多隱適美失敗的原因是甚麼?
若大家搜尋隱適美失敗,大多應出自Dcard論壇,裡面的牙齒矯正版討論相關議題非常的熱絡,有些網友想詢問隱適美失敗的原因,也有網友直接表明做隱適美後悔。
蔡昆志醫師表示,造成隱適美失敗的原因可以歸納為三種,並可以區分為醫師或患者的因素。
隱適美失敗原因1:醫師非齒顎矯正專科
目前不是每位隱適美醫師都是齒顎專科醫師,所以只會推薦患者配戴隱適美,在經驗和專業不足的情況下,這些醫師也只能單就碰過的隱適美案例制定矯正計畫。
比較幸運的患者,沒有太複雜的口腔狀況,就可以安全使用隱適美完成療程,而如果遇到太過複雜的案例卻仍只用隱適美,到最後可能會造成愈來愈慘的狀況。
蔡昆志醫師強調齒顎專科的重要性,若非專科醫師,可能就無法判斷是否可以不拔牙矯正,及其他的矯正計畫細節,所以最後就會變成患者隱適美失敗。
隱適美失敗原因2:患者沒有配戴足夠時間
你是否有些困惑,認為隱適美失敗與患者有甚麼關係,蔡昆志醫師曾在「隱形矯正品牌大賞,隱適美隱形矯正為何一枝獨秀?」文章提到,最大的隱形矯正缺點就是需要患者的自制力。
如果沒有依規定每日配戴20-22小時,就可能跟不上預先的矯正進度,進而延長矯正時間或效果,蔡醫師就曾遇過隱適美後悔的事情,最後患者認為自己無法達到要求,只能多花錢改成傳統矯正器。
隱適美失敗原因3:患者沒有定期回診
蔡昆志醫師也提醒要有定時回診的好習慣,在有定期回診的情況下,醫師可以及時發現狀況,患者也要勇於表達在配戴時遇到的不便。
患者正確的表達加上醫師專業調整才是正確的矯正過程,也只有這樣才可以避免患者配戴隱適美後悔的情況。

隱適美失敗有補救方法嗎?
如果真的發生隱適美失敗的憾事,補救的辦法有兩個,第一是重新掃描,繼續配戴隱適美;第二則是放棄隱形矯正,使用傳統牙齒矯正。
醫師提醒患者,如果重新拍照、口掃再制定新的矯正計畫,需要等待原廠將新的牙套製作好寄至台灣,才能再次開始矯治進度。
因為多一次矯正評估及牙套製作,所以需要付出更多金錢及時間。
隱適美後悔怎麼辦?
並非人人都適合隱形矯正療程,而當矯正醫師評估你適合隱適美之後,一定要認真佩戴牙套、定期回診,才能有好的治療效果。
牙齒矯正通常都需要一年至數年的時間,如果有規劃出國工作、遊學的計畫,不建議在這期間進行矯正,因為矯正期間需要定期回診所向醫師進行調整,無法定期回診會讓醫師無法掌控治療的進度,也是會導致為隱適美失敗的局面。
在文章的最後,醫師再次強調避免隱適美失敗的唯一方法,就是務必選擇正確的矯正醫師。
要做矯正,建議可選擇通過嚴格受訓,且通過國家證照考試的:行政院衛生福利部部定齒顎矯正科專科醫師。設定專科醫師的目的,就是為了保障治療品質與效果。矯正專科醫師,會根據患者需求、口腔條件,以及臉型外觀,規劃合適治療計畫。

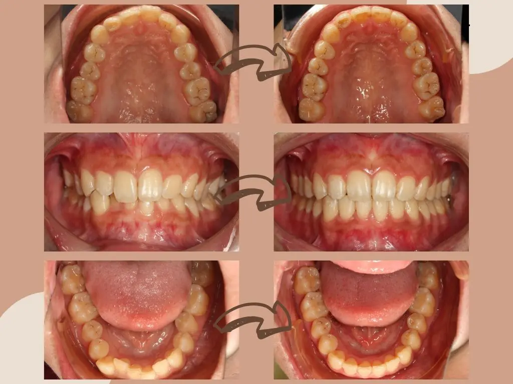
隱適美失敗案例分享
患者蘇小姐第一次配戴隱適美時,因為醫師專業不足導致矯正成果不如預期。
後來透過親友介紹找到蔡昆志醫師,蔡醫師判斷她牙齒空間本身條件良好,評估後決定採取不拔牙的治療方案。
二次矯正流程中,透過隱適美矯正器,逐步調整牙齒的角度與位置,改善深咬問題,同時兼顧臉型美觀。
治療後,蘇小姐前牙深咬問題獲得明顯改善,咬合關係更為正常,不僅重拾自信笑容,臉部線條也更加柔和。


這次的案例證明了尋找齒顎專科醫師做矯正的重要性!
如果有隱適美失敗、隱適美後悔相關疑惑請尋求專業醫師評估,可以填寫或直接撥打電話預約
預約表單:立即點擊填寫
預約電話 :02-2292-8686
隱適美失敗dcard常見迷思大揭秘:
隱適美療程中間加錢究竟為什麼?
隱適美療程中被追加費用是關於隱適美失敗dcard上常見的抱怨,蔡昆志醫師說明,隱適美療程中追加費用主要有幾個方面的原因:
-
療程調整:在治療過程中,可能因為牙齒狀況的實際變化或是初期評估未能完全預測所有需求,需要進行療程調整,這可能包括增加矯正器的數量或改變治療方案。
特別是隱適美,如果中途需要更改矯正計畫,每一次的調整可能都會衍生出一些費用。
-
額外治療:某些情況下,病人可能需要額外的口腔治療,如矯正拔牙、牙齦治療等,這些額外治療可能不包含在初期的療程費用中。
-
補換矯正器:如果矯正器遺失或損壞,需要重新製作。
-
需求變更:在治療過程中可能改變治療目標或期望,這可能需要調整治療計畫,導致額外費用。
對此,蔡昆志醫師強調,患者在初診諮詢時就要和診所有良好的溝通,確認費用要多少、費用的支付方式與中間有可能會追加哪些費用,避免後續溝通落差產生糾紛。
隱適美痘痘黏不上去怎麼辦?
當隱適美豆豆黏不上去時,通常會需要重新評估治療計畫。
這種情況可能是因為牙齒表面的特殊條件或黏著劑選擇不當導致的。
面對這類情況,醫師可能會加強黏著劑或是調整隱適美豆豆的種類和設計,以確保它們能夠有效地固定在牙齒上。
如果持續遇到豆豆黏貼問題,可能需要對治療計畫進行更根本的修改,像是改變治療策略或使用其他類型的矯正裝置。
蔡昆志醫師根據每一位患者的情況和治療進度,制定最適合的解決方案,以確保矯正治療的效果和效率。
延伸閱讀:【隱適美知識庫】隱適美豆豆的相關訊息
隱適美中途換醫師可行嗎?
隱適美中途換醫師是可行的。
每一個隱適美療程的詳細資料都會被完整記錄在隱適美系統中,這包括病患的口腔掃描資料、治療計畫以及進度更新。
隱適美系統設計確保了即使在療程中途更換牙醫,下一位醫師也能夠透過系統精準地接收和了解前一位醫師的治療計畫和進度,從而無縫接軌。
因此,患者不需要擔心資訊遺漏,通常也不需要重新進行口腔掃描,極大地方便了患者在必要時更換治療醫師,同時確保了治療的連續性和效率。
台北牙醫推薦蔡昆志醫師仁心仁術,用心治療
台北牙醫推薦-蔡昆志醫師,扎實三年齒顎矯正專科,亦為隱適美Invisalign認證醫師,為患者制定最完整的矯正計畫。
蔡昆志醫師同時也是德國Dentsply Xive植牙專科醫師,缺牙矯正、人工植牙可同時評估,給予患者有系統的治療方案。
如果有隱適美失敗、隱適美後悔相關疑惑請尋求專業醫師評估,可以填寫或直接撥打電話預約
預約表單:立即點擊填寫
預約電話 :02-2292-8686